서울숙면치과 전후사진 1 페이지

본문 바로가기
    사이트맵
  • 서울숙면치과
    • 서울숙면치과
    • 대표원장인사말
    • 의료진소개
    • 디지털장비소개
    • 진료공간둘러보기
    • 진료시간/오시는길
  • 의식하진정법 숙면임플란트
    • 임플란트특별함
    • 의식하진정법 숙면임플란트
    • 네비게이션임플란트
    • 자가혈임플란트
    • 전체 임플란트
    • 하이니스임플란트
    • 임플란트 종류
  • 치아교정
    • 치아교정특별함
    • 클리피씨교정
    • 인비절라인
    • 투명교정
    • 소아/청소년교정
    • 치아교정주의사항
  • 의식하진정법 숙면치과치료
    • 의식하진정법 숙면치과치료특별함
    • 신경치료
    • 충치치료
    • 사랑니발치
    • 턱관절치료
  • 무삭제 라미네이트
  • 치아보험
    • 치아보험알아보기
    • 치아보험구비서류안내
  • 커뮤니티
    • 공지사항
    • 치료전후사진
    • 치료후기
    • 서울숙면스토리
    • 비급여수가안내
  • 상담/예약
    • 카카오톡상담
    • 네이버예약

서울숙면치과 전후사진

과잉진료-없는-정직한-진료-서울숙면치과
배경
서울숙면치과-전후사진
Total 1,057건 1 페이지
번호 치료전후사진 내용
공지

상악동거상술, 뼈이식 / 숙면임플란트 13개 - 오스템임플란트 (이*웅님)

해당 게시물은 의료법 제56조에 의거하여 로그인 후 열람이 가능합니다.

구분 임플란트

공지

상악동거상술, 뼈이식 / 숙면임플란트 14개 - 네오임플란트 (이*현님)

해당 게시물은 의료법 제56조에 의거하여 로그인 후 열람이 가능합니다.

구분 임플란트

공지

상악동거상술, 뼈이식 / 숙면임플란트 12개 - 오스템임플란트 (김*현님)

해당 게시물은 의료법 제56조에 의거하여 로그인 후 열람이 가능합니다.

구분 임플란트

공지

상악동거상술, 뼈이식 / 숙면임플란트 11개 - 포인트임플란트 (이*정님)

해당 게시물은 의료법 제56조에 의거하여 로그인 후 열람이 가능합니다.

구분 임플란트

공지

상악동거상술 / 숙면임플란트 17개 - 오스템임플란트 (박*배님)

해당 게시물은 의료법 제56조에 의거하여 로그인 후 열람이 가능합니다.

구분 임플란트

공지

뼈이식 / 숙면임플란트 12개 - 오스템임플란트 (김*민님)

해당 게시물은 의료법 제56조에 의거하여 로그인 후 열람이 가능합니다.

구분 임플란트

공지

상악동거상술, 뼈이식 / 숙면임플란트 13개 - 오스템임플란트 (정*헌님)

해당 게시물은 의료법 제56조에 의거하여 로그인 후 열람이 가능합니다.

구분 임플란트

1057

뼈이식 / 숙면임플란트 8개 - 포인트임플란트 (정*선님)

해당 게시물은 의료법 제56조에 의거하여 로그인 후 열람이 가능합니다.

구분 임플란트

1056

뼈이식 / 숙면임플란트 11개 - 네오임플란트 (전*찬님)

해당 게시물은 의료법 제56조에 의거하여 로그인 후 열람이 가능합니다.

구분 임플란트

1055

상악동거상술, 뼈이식 / 숙면임플란트 13개 - 네오임플란트 (정*숙님)

해당 게시물은 의료법 제56조에 의거하여 로그인 후 열람이 가능합니다.

구분 임플란트

1054

상악동거상술, 뼈이식 / 숙면임플란트 14개 - 오스템임플란트 (정*기님)

해당 게시물은 의료법 제56조에 의거하여 로그인 후 열람이 가능합니다.

구분 임플란트

1053

상악동거상술, 뼈이식 / 숙면임플란트 22개 - 오스템임플란트 (정*목님)

해당 게시물은 의료법 제56조에 의거하여 로그인 후 열람이 가능합니다.

구분 임플란트

1052

뼈이식 / 임플란트 2개 - 오스템임플란트 (이*숙님)

해당 게시물은 의료법 제56조에 의거하여 로그인 후 열람이 가능합니다.

구분 임플란트

1051

상악동거상술 / 숙면임플란트 3개 - 오스템임플란트 (김*경님)

해당 게시물은 의료법 제56조에 의거하여 로그인 후 열람이 가능합니다.

구분 임플란트

1050

숙면임플란트 3개 - 오스템임플란트 (이*란님)

해당 게시물은 의료법 제56조에 의거하여 로그인 후 열람이 가능합니다.

구분 임플란트

1049

뼈이식 / 숙면임플란트 4개 - 오스템임플란트 (장*란님)

해당 게시물은 의료법 제56조에 의거하여 로그인 후 열람이 가능합니다.

구분 임플란트

1048

뼈이식 / 숙면임플란트 4개 - 네오임플란트 (장*름님)

해당 게시물은 의료법 제56조에 의거하여 로그인 후 열람이 가능합니다.

구분 임플란트

1047

뼈이식 / 임플란트 4개 - 포인트임플란트 (장*환님)

해당 게시물은 의료법 제56조에 의거하여 로그인 후 열람이 가능합니다.

구분 임플란트

1046

상악동거상술, 뼈이식 / 임플란트 9개 - 오스템임플란트 (이*언님)

해당 게시물은 의료법 제56조에 의거하여 로그인 후 열람이 가능합니다.

구분 임플란트

1045

상악동거상술 / 숙면임플란트 10개 - 오스템임플란트 (이*윤님)

해당 게시물은 의료법 제56조에 의거하여 로그인 후 열람이 가능합니다.

구분 임플란트

1044

상악동거상술, 뼈이식 / 임플란트 11개 - 오스템임플란트 (이*희님)

해당 게시물은 의료법 제56조에 의거하여 로그인 후 열람이 가능합니다.

구분 임플란트

1043

상악동거상술, 뼈이식 / 임플란트 10개 - 포인트임플란트 (우*학님)

해당 게시물은 의료법 제56조에 의거하여 로그인 후 열람이 가능합니다.

구분 임플란트

서울대학교-치과대학-출신-전문의-의료진-책임관리-믿을-수-있는-의료진-서울숙면치과-서울대학교-치과대학-출신-의료진의-협진-진료로-성공적인-치료-결과를-얻을-수-있도록-노력합니다
218평-대형-규모-쾌적한-진료-환경-수술실-4개-체어-21대로-편안한-진료-수술실-4개와-진료-체어-21대를-보유하고-있으며-넉넉한-주차-공간으로-마음-편하게-방문하실-수-있습니다
치과치료에-대한-두려움을-줄인-의식하진정법 숙면치료-진행-안전-중심-의식하진정법 숙면치료-프로그램-치과공포증이-심한-환자분들께서-편안하고-안전하게-치료받으실-수-있는-의식하진정법 숙면치료를-진행합니다
다양한-디지털-치과장비로-정확성-높은-진단-3D_CT-구강-스캐너-등-디지털-진단-진행-정밀하고-안전성-높은-치료를-위해-다양한-디지털-장비를-활용한-치료를-진행합니다
자체기공소-운영으로-신속하고-정확한-보철-제작-실력-있는-기공사의-퀄리티-높은-보철물-제작-양질의-치과치료를-위해-자체-기공소-소속-전문성을-갖춘-우수한-치기공사가-높은-퀄리티의-보철물을-제작합니다
치료-후-관리까지-체계적인-진료-보증제-환자-개인별-맞춤-사후관리-진행-치료에-대한-자신감을-바탕으로-진료-보증제를-통해-치료-후에도-맞춤-사후관리를-진행하고-있습니다
진료실-스태프-전원-치과위생사-믿고-맡길-수-있는-정직한-진료-서울숙면치과-진료실-스태프-전원은-국가고시-면허자격을-소유한-치과위생사입니다
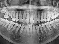
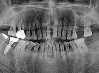
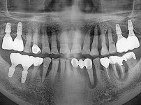
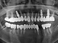
임플란트-전후사진1
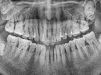
임플란트-전후사진2
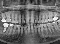
임플란트-전후사진3
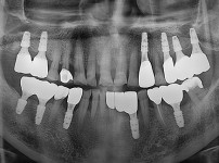
임플란트-전후사진4
임플란트-전후사진5
임플란트-전후사진6
치과를-선택할-때-꼭-확인하세요-서울숙면치과-임플란트-전후사진
서울숙면치과-의식하진정법 숙면치과치료와-수술은-월/화/수/목/금/토-언제든지-치료가능-서울숙면치과-치아교정은-화/수/목/토-진료가능
대기실
대기실
진료실
교정진료실
진료실
메이크업실
상담실
수술실
회복실

배경
맨위로
개인정보 활용동의자세히보기
빠른상담